Real transformations from real patients - created with care in Thornton Heath
This paragraph gives us additional space to discuss the treatment if we require it. It's a pretty concise space to get a direct message across.

At Thornton Dental & Implant Centre, every smile plan starts with understanding what you want to change and why. We’re proud to support patients from Thornton Heath and nearby areas including Brigstock Road, Bensham Manor, Selhurst, Norbury and Croydon - helping them achieve natural-looking improvements with dentistry that feels personal.
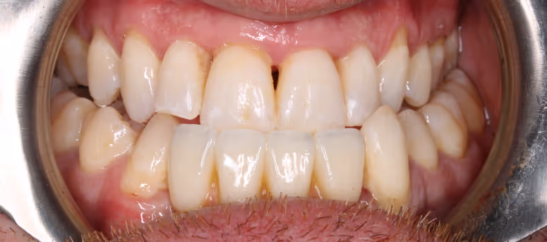
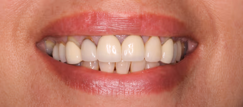
Our smile gallery showcases genuine patient results from a range of treatments, including Invisalign, veneers, dental implants and teeth whitening. Each case is planned carefully to suit the patient’s features, lifestyle and goals - with the focus on balance, comfort and a smile that still looks like you.
These before-and-after examples highlight the level of detail we put into treatment planning and finishing, as well as the supportive patient journey we aim to provide from first consultation to final review.













Thornton Dental & Implant Centre is part of a small group of independently run dental practices, each offering high-quality care with a patient-first approach across London and Surrey.
200 Hampton Road
West Feltham TW13 6BG

223 Tooting High Street
London SW17 0TD

353 Upper Richmond Road,
Putney, London, SW15 5QJ
